Impingement Lesions

Through the years members of Ankle Platform have asked for treatment advise. The experts opinion can be of interest for other physicians who meet similar problems. Submissions are anonymized and transformed to cases which you can find in this section. Physicians can upload their anonymized problem case for expert advice.

Submit Case

Impingement Lesions

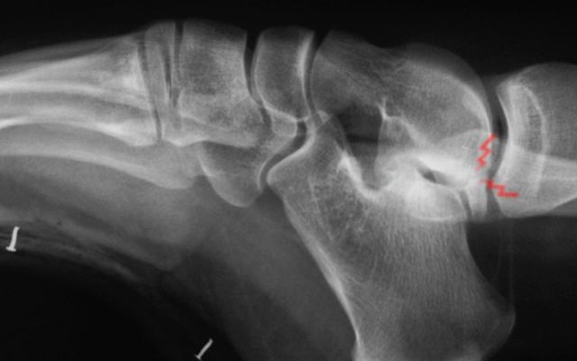
Anterior and posterior impingement with lateral ossicle

37 Years old male with low physical activity and BMI of 32.
Learn More

Ankle fibrolipoma

A 16-years old, female volleyball player.
Learn More

Combined AMI and Posterior impingement

Combined AMI and Posterior impingement
Learn More

Superficial peroneal nerve entrapment in AL portal

Female, 30 years old
Learn More

Bone fragment on the posterior aspect of the medial malleolus

23 years old fottball player
Learn More
Disclaimer