Posterior Ankle Pathology

Through the years members of Ankle Platform have asked for treatment advise. The experts opinion can be of interest for other physicians who meet similar problems. Submissions are anonymized and transformed to cases which you can find in this section. Physicians can upload their anonymized problem case for expert advice.

Submit Case

Posterior Ankle Pathology

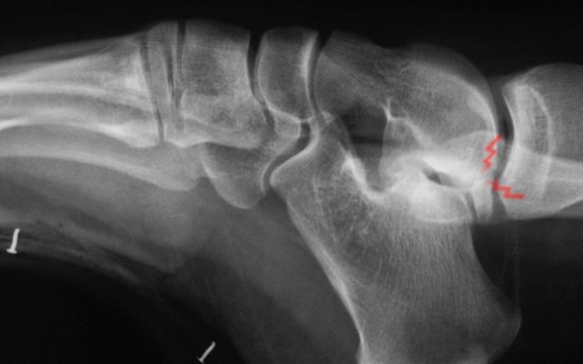
Posterior pain after posterior malleolar fracture

Female, 62 years old.
Learn More

Low riding muscle belly of the peroneal en FHL tendon

24 year old recreational soccer player.
Learn More

Os trigonum in adolescent

13 year old girl. High level competitive gymnastics
Learn More

Sensory disturbances after posterior ankle arthroscopy

Male 32 years old, with posterior ankle pain since one year. Diagnosis: Os trigonum
Learn More

Osteochondral fracture?

45 year old male. ankle inversion injury 3 days ago
Learn More
Disclaimer